U nguyên bào võng mạc – Loại ung thư mắt phổ biến nhất ở trẻ em
U nguyên bào võng mạc, còn gọi là retinoblastoma, là một dạng ung thư mắt hiếm gặp, phát triển từ các tế bào võng mạc chưa trưởng thành ở trẻ em. Đây là loại ung thư nội nhãn ác tính phổ biến nhất ở trẻ em và thường được chẩn đoán trước 2 tuổi, với hơn 90% trường hợp được phát hiện trước 5 tuổi, theo Boston Children’s Hospital. Bệnh có thể ảnh hưởng đến một hoặc cả hai mắt và có thể do di truyền hoặc không di truyền.

Nguyên nhân:
-
Di truyền:Khoảng 25% trường hợp u nguyên bào võng mạc ở cả hai mắt và 15% ở một mắt là do di truyền.
-
Đột biến gen:Có thể xảy ra đột biến gen RB1 ở nhiễm sắc thể 13, trong đó 30% trẻ mắc bệnh cũng mang đột biến RB1 trong tất cả các tế bào.
-
Không di truyền:Phần lớn các trường hợp u nguyên bào võng mạc không phải do di truyền (60%).

Triệu chứng:
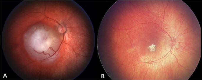
- Ánh đồng tử trắng (leukocoria): Đây là dấu hiệu phổ biến nhất, khi nhìn thấy đốm trắng ở giữa đồng tử (lòng đen của mắt), đặc biệt khi chụp ảnh bằng đèn flash.
- Lác mắt (strabismus): Mắt có thể bị lệch, nhìn theo các hướng khác nhau.
- Các triệu chứng khác: Giảm thị lực, mắt đỏ, sưng đau, chảy máu trong mắt, và trong trường hợp nặng có thể lồi mắt.
Chẩn đoán:
- Khám đáy mắt, siêu âm, chụp CT hoặc MRI.
- Sinh thiết khối u có thể được thực hiện để xác nhận chẩn đoán và đánh giá loại u

Điều trị:
-
Hóa trị:Thường được sử dụng để thu nhỏ khối u trước khi phẫu thuật hoặc điều trị các khối u tái phát hoặc lan rộng.
-
Phẫu thuật:Loại bỏ khối u, có thể bao gồm phẫu thuật cắt bỏ nhãn cầu (loại bỏ mắt) nếu khối u lớn và không thể bảo tồn thị lực.
-
Xạ trị:Có thể được sử dụng để điều trị các khối u tái phát hoặc lan rộng.
-
Liệu pháp áp lạnh và laser:Được sử dụng để tiêu diệt các khối u nhỏ và nông.

Tiên lượng:
- U nguyên bào võng mạc có thể chữa khỏi, đặc biệt khi được chẩn đoán sớm.
- Tỷ lệ sống sót cao, đặc biệt ở các nước có hệ thống y tế phát triển
Ngay khi phát hiện những dấu hiện bất thường của mắt, hãy đến các cơ sở y tế uy tín để được chẩn đoán và chữa trị kịp thời. Mắt Đông Đô là một trong những đại chỉ nhãn khoa uy tín với hệ thống máy thăm khám và phẫu thuật tiên tiến hiện đại bậc nhất, cùng với đó là đội ngũ bác sĩ chuyên môn cao, dày dặn kinh nghiệm. Hãy liên hệ ngay Hotline 093 296 65 65 để được tư vấn sớm nhất.