Bệnh võng mạc tiểu đường – Các giai đoạn và biến chứng
Bệnh võng mạc tiểu đường gây ra hậu quả nghiêm trọng đối với sức khỏe thị lực của người bị bệnh nếu không phát hiện kịp thời và điều trị. Khi mắc căn bệnh, lớp niêm mạc nằm ở phía sau mắt dần bị tổn thương do tăng đường trong máu. Nguyên nhân dẫn đến hiện tượng chảy máu và dịch môi trường bên trong mắt bị thay đổi ảnh hưởng đến khả năng nhìn rõ, nặng hơn dẫn đến mất thị lực.
Để phòng ngừa và điều trị bệnh võng mạc đái tháo đường, người bệnh nên theo dõi chặt chẽ sức khỏe của mắt, điều chỉnh lối sống và kiểm soát mức đường huyết. Cùng Mắt Đông Đô tìm hiểu tất cả những thông tin liên quan đến bệnh võng mạc đái tháo đường.

Bệnh võng mạc tiểu đường là gì?
Bệnh tiểu đường là bệnh liên quan đến rối loạn chuyển hóa carbohydrate mạn tính, không lây truyền và có tốc độ phát triển nhanh nhất trong ba bệnh thông thường là ung thư, bệnh tim mạch và đái tháo đường. Bệnh đái tháo đường có hai dạng chính thường xuyên xảy ra.
- Đái tháo đường phụ thuộc insulin IDD – loại 1 thường xuất hiện ở lứa tuổi từ 10 đến 20.
- Đái tháo đường không phụ thuộc insulin NIDD – loại 2 thường xuất hiện ở lứa tuổi từ 50 đến 70.
Bệnh đái tháo đường gây ra nhiều biến chứng liên quan đến mắt, tim mạch, thận và hệ thần kinh. Trong số đó, biến chứng mắt tiểu đường là vấn đề thường gặp đối với bệnh nhân bị đái tháo đường.
Võng mạc là tầng sợi thần kinh của mắt đóng vai trò quan trọng trong việc thu nhận ánh sáng và truyền tải hình ảnh từ mắt đến não và ngược lại. Trong số các phần của võng mạc, hoàng điểm có vai trò quan trọng nhất trong việc nhận diện hình ảnh chi tiết.
Bệnh võng mạc tiểu đường là tình trạng bệnh lý tại võng mạc gây ra bởi bệnh đái tháo đường. Bệnh võng mạc đái tháo đường thường xuất hiện sau khoảng từ 10-15 năm khi bệnh nhân mắc bệnh đái tháo đường. Thống kê cho thấy, tổng thể, sau 15 năm mắc đái tháo đường có 2% bệnh nhân mù lòa và 10% bệnh nhân bị thị lực suy giảm.
Tỷ lệ mắc bệnh võng mạc đái tháo đường trong loại 1 là 40%, cao hơn so với loại 2 20%. Bệnh võng mạc đái tháo đường là nguyên nhân gây mù lòa phổ biến nhất ở nhóm tuổi từ 20 đến 65.

Triệu chứng của bệnh võng mạc tiểu đường
Bệnh võng mạc tiểu đường thường bệnh nhân không có bất kỳ triệu chứng nào trước khi võng mạc bị tổn thương. Thị lực giảm là dấu hiệu cho thấy võng mạc đã bị ảnh hưởng.
Tại thời điểm này, bệnh võng mạc đái tháo đường đã phát triển đến mức nặng. Vì vậy, bệnh nhân mắc đái tháo đường nên kiểm tra mắt định kỳ để bác sĩ phát hiện sớm bệnh võng mạc đái tháo đường và tiến hành điều trị nhằm ngăn ngừa suy giảm thị lực.
Các nguyên nhân gây ra võng mạc tiểu đường
Bệnh võng mạc tiểu đường nguyên nhân gây ra là do biến chứng mắc tiểu đường tác động. Bệnh đái tháo đường gây tổn thương đến mạch máu trong toàn bộ cơ thể đặc biệt là mạch máu nhỏ.
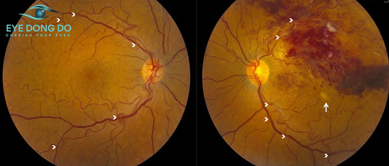
Tại mắt, các mao mạch võng mạc bị tổn thương dẫn đến tăng tính thấm của thành mạch và dẫn huyết tương vào võng mạc, gây phù nề. Khi mao mạch bị hủy hoại và tắc nghẽn, võng mạc thiếu máu, cơ thể phản ứng bằng cách kích thích sự phát triển của các mạch máu mới để cung cấp dưỡng chất cho vùng võng mạc. Tuy nhiên, các mạch máu mới có cấu trúc yếu và dễ vỡ gây ra các biến chứng như xuất huyết dịch kính, xơ hóa, gây co kéo và bong võng mạc.
Võng mạc là phần quan trọng trong việc thu nhận ánh sáng cùng với hoàng điểm đóng vai trò trung tâm trong việc tạo ra thị giác. Biến chứng mắt tiểu đường lên võng mạc gây tổn thương nghiêm trọng ảnh hưởng đáng kể đến chức năng thị giác.

Các giai đoạn của bệnh võng mạc đái tháo đường
Bệnh võng mạc tiểu đường phát triển qua bốn giai đoạn cụ thể. Mỗi một giai đoạn sẽ có một biểu hiện cũng như triệu chứng khác nhau.
Bệnh lý võng mạc nền
Giai đoạn bệnh võng mạc đái tháo đường bắt đầu có những tổn thương võng mạc như phình mao mạch võng mạc, xuất huyết nhẹ, ứ đọng chất dịch và phù võng mạc.
Mặc dù không gây giảm thị lực nếu chưa ảnh hưởng đến vùng hoàng điểm, nhưng bệnh nhân trải qua những bất thường về thị giác như nhìn thấy các điểm đen trước mắt, thay đổi màu sắc. Bệnh nhân cần theo dõi và điều trị để tránh tiến triển xấu để đảm bảo chức năng thị giác.
Bệnh lý hoàng điểm
Bệnh lý hoàng điểm là nguyên nhân phổ biến gây giảm thị lực ở bệnh nhân đái tháo đường, đặc biệt là đái tháo đường không phụ thuộc insulin, thường ở độ tuổi 50-70. Hoàng điểm bị phù, hình thành nang kèm theo thiếu máu nuôi dưỡng cục bộ.

Giai đoạn tiền tăng sinh
Tại giai đoạn này, tổn thương võng mạc phát triển do sự bất thường trong việc cung cấp máu cho võng mạc dẫn đến tổn thương thiếu máu cục bộ, xuất huyết và phù võng mạc. Các biểu hiện bệnh võng mạc đái tháo đường bao gồm vi phình mạch, xuất tiết và xuất huyết võng mạc.
Giai đoạn tăng sinh
Bệnh võng mạc đái tháo đường giai đoạn tăng sinh xảy ra do sự xuất hiện các mạch máu mới bất thường gây xuất huyết tái diễn liên tục, tổ chức hóa và co kéo dịch kính võng mạc. Hậu quả là tổn thương nghiêm trọng võng mạc, gây rách hoặc bong võng mạc dẫn đến mù lòa. Một biến chứng thường gặp khác là glôcôm tân mạch, đau nhức kéo dài và khó điều trị.

Những biến chứng mắt tiểu đường nguy hiểm
Bệnh võng mạc tiểu đường có thể gây ra nhiều biến chứng nguy hiểm cho mắt nếu như không được thăm khám và điều trị kịp thời.
- Đục thủy tinh thể: Đái tháo đường làm thay đổi cấu trúc thủy tinh thể trong mắt gây ra đục thủy tinh thể. Biến chứng thường gặp có thể gây mờ mắt và giảm chất lượng thị giác.
- Tổn thương võng mạc: Đái tháo đường gây tổn thương cho mạch máu và mô võng mạc. Các biến chứng võng mạc bao gồm phình mạch, xuất huyết võng mạc, tổ chức hóa mạch máu và co kéo dịch kính võng mạc. Nguyên nhân dẫn đến giảm thị lực và nặng hơn là mất thị lực.
- Glôcôm tăng sinh: Glôcôm tình trạng áp lực trong mắt tăng cao gây tổn thương cho thần kinh thị giác. Đái tháo đường gây ra glôcôm tăng sinh là dạng glôcôm kháng thuốc, gây đau và mất thị lực nhanh chóng.
- Tắc tĩnh mạch võng mạc: Bệnh tiểu đường gây tổn thương cho các tĩnh mạch và cản trở máu đi đến võng mạc, dẫn đến suy giảm thị lực và gây biến chứng khác như thoái hóa võng mạc.
- Ảnh hưởng đến tuyến nước mắt: Đái tháo đường có thể gây ảnh hưởng đến các tuyến nước mắt, làm giảm chất lượng nước mắt và gây khó chịu, khô mắt và viêm nhiễm.
- Viêm kết mạc: Bệnh nhân đái tháo đường có nguy cơ cao bị viêm kết mạc. Đây là tình trạng viêm nhiễm của niêm mạc bao quanh mắt gây sưng, đỏ và đau mắt.
Những biến chứng bệnh võng mạc tiểu đường đều nguy hiểm và gây hậu quả nghiêm trọng cho thị giác. Việc kiểm tra và điều trị đái tháo đường kịp thời, định kỳ quan trọng để phòng ngừa và kiểm soát các biến chứng này.

Quy trình điều trị bệnh võng mạc tiểu đường
Quy trình điều trị bệnh võng mạc tiểu đường theo từng bước cụ thể để giúp cho bác sĩ nhãn khoa xác định được diễn biến và đưa ra phương pháp điều trị thích hợp.
Đo thị lực
Đo thị lực là bước đầu tiên để đánh giá chất lượng thị giác của bệnh nhân. Quá trình này thường bao gồm kiểm tra tầm nhìn, đo lường khả năng nhìn rõ và xác định sự thay đổi trong thị lực.

Khám tổng quát về mắt
Khám tổng quát mắt bao gồm đo nhãn áp, kiểm tra mí mắt, kết giác mạc, tiền phòng, mống mắt và đánh giá chức năng tổng quát của mắt.
Tra thuốc giãn đồng tử
Để kiểm tra dịch kính và võng mạc, bác sĩ sử dụng thuốc giãn đồng tử để giúp mở rộng đồng tử và cho phép nhìn rõ hơn vào mắt để kiểm tra các bộ phận chi tiết.
Chụp hình màu đáy mắt
Chụp hình màu đáy mắt là phương pháp được sử dụng để nhận định các tổn thương giai đoạn sớm. Phương pháp này cung cấp hình ảnh chi tiết về mạch máu và cấu trúc mắt để phát hiện sớm tổn thương.

Chụp mạch máu huỳnh quang và OCT
Đối với các tổn thương xuất hiện, chụp mạch máu huỳnh quang và OCT được thực hiện để đánh giá chính xác tình trạng tổn thương. Chụp mạch máu huỳnh quang xem xét các tổn thương về mạch máu, trong khi OCT đánh giá phù hoàng điểm và tổn thương võng mạc trung tâm.

Phương pháp phòng ngừa bệnh võng mạc tiểu đường
Để kéo dài thời gian và chậm diễn tiến triển của bệnh võng mạc tiểu đường, bệnh nhân cần duy trì mức đường trong máu và huyết áp ổn định trong giới hạn an toàn được đề ra bởi bác sĩ điều trị. Đồng thời, yếu tố làm tăng nguy cơ tiểu đường ảnh hưởng đến võng mạc như thuốc lá và béo phì cần được loại bỏ.
Bằng cách tuân thủ các quy định trên, bệnh nhân bảo vệ thị lực trong thời gian dài hơn. Bệnh nhân đái tháo đường cần thực hiện kiểm tra mắt định kỳ tại bệnh viện mắt với tần suất theo yêu cầu của bác sĩ điều trị, thường là 3 tháng, 6 tháng hoặc 1 năm một lần. Qua đó, bác sĩ phát hiện sớm tổn thương võng mạc và thực hiện liệu pháp kịp thời để duy trì thị lực, ngăn ngừa tình trạng giảm thị lực hoặc mù lòa.
Đến Mắt Đông Đô để kiểm tra và điều trị võng mạc tiểu đường kịp thời
Bệnh võng mạc tiểu đường là một căn bệnh cực kỳ nguy hiểm nếu như không được phát hiện và điều trị kịp thời. Mắt Đông Đô được biết đến là một trong những địa chỉ uy tín để thăm khám và điều trị các bệnh lý liên quan đến mắt.
Trung tâm Mắt kỹ thuật cao Bệnh viện Đông Đô sở hữu đội ngũ phó giáo sư, tiến sĩ và thạc sĩ đầu ngành chuyên ngành nhãn khoa. Trang thiết bị máy móc hiện đại hỗ trợ cho việc thăm khám và điều trị bệnh võng mạc đái tháo đường. Cơ sở vật chất và hạ tầng hoàn chỉnh hỗ trợ giúp cho bệnh nhân an tâm khi điều trị mắt tại đây.

Dịch vụ thăm khám mắt được đặt lịch hoàn toàn trực tuyến để giúp tiết kiệm chi phí và thời gian. Thái độ phục vụ của nhân viên tận tâm và chu đáo mang đến sự hài lòng khi bệnh nhân đến đây thăm khám mắt.
Thông qua những thông tin chia sẻ về bệnh võng mạc tiểu đường mong muốn mang đến cho người bệnh nhiều kiến thức hữu ích. Nếu có nhu cầu tư vấn và đặt lịch thăm khám tại Mắt Đông Đô vui lòng liên hệ số hotline 093.296.6565 để được phục vụ nhanh nhất.